
Le département de radiothérapie du Centre Henri Becquerel est l’un des pionniers de la région dans la prise en charge des cancers. Il propose des traitements de haute qualité reposant sur des technologies de pointe et une expertise reconnue.
Engagé dans la formation des futurs professionnels de santé, il accueille et forme régulièrement des internes de différentes spécialités, physiciens médicaux et manipulateurs en électro-radiologie médicale.
Qu’est-ce que la radiothérapie ?
La radiothérapie est un traitement locorégional qui utilise des rayons de haute énergie pour détruire les cellules cancéreuses.
Elle est principalement utilisée pour traiter le cancer, mais peut aussi être employée dans certaines maladies non cancéreuses
La radiothérapie peut être utilisée seule ou après chirurgie. Une chimiothérapie concomitante est parfois utilisée pour augmenter son efficacité. La radiothérapie peut être à visée curative ou palliative afin de soulager les symptômes (douleurs, saignements …) et améliorer la qualité de vie.
Plus de la moitié des patients ayant un cancer auront un traitement par radiothérapie à une étape de leur parcours de soin.
Techniques de radiothérapie
Il existe plusieurs techniques de traitement par radiothérapie :
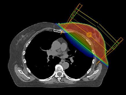
La radiothérapie conformationnelle 3D (ou dite « tridimensionnelle »)
La radiothérapie conformationnelle se base sur l’imagerie en 3 dimensions de la tumeur ou le tissu à traiter et des organes environnants pour adapter (conformer) la forme des faisceaux au volume à traiter tout en épargnant au maximum les tissus sains avoisinants.

La radiothérapie conformationnelle avec modulation d’intensité (RCMI) et la radiothérapie avec modulation d’intensité Volumétrique par Arc Thérapie (VMAT)
Il s’agit d’une évolution de la radiothérapie conformationnelle tridimensionnelle qui permet non seulement d’adapter la forme du faisceau au volume cible mais aussi de faire varier l’intensité des rayons à l’intérieur du faisceau. Cette technique est particulièrement utile en cas de volume de forme complexe.
L’arcthérapie volumétrique modulée (VMAT) est une forme perfectionnée de RCMI, durant laquelle la dose de rayon est délivrée au cours d’une rotation continue allant jusqu’à 360° de l’appareil de traitement. Le traitement est plus rapide qu’en RCMI.

Radiothérapie guidée par l’image (IGRT)
Elle consiste à coupler l’imagerie médicale aux accélérateurs linéaires ce qui permet de contrôler la position de la cible à traiter lors du traitement et donc d’améliorer la précision du traitement.
Technique en inspiration bloquée
En cas d’irradiation mammaire, votre médecin peut vous proposer une technique de traitement en inspiration bloquée. Cette technique peut permettre d’éloigner le cœur de la zone traitée et de réduire la dose délivrée au cœur et de ce fait le risque de survenue d’événements cardio-vasculaires.

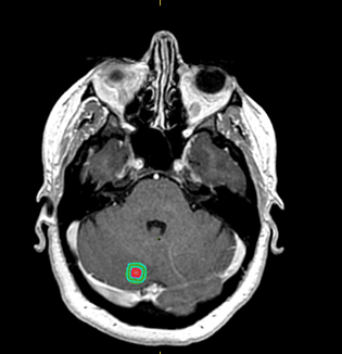
Stéréotaxie
La radiothérapie stéréotaxique est une forme de radiothérapie de très haute précision qui permet d’irradier à haute dose de petits volumes en un nombre limité de séance.
Centre de référence en stéréotaxie en Normandie, nous proposons toutes les techniques de radiothérapie stéréotaxique : cérébrale, pulmonaire, osseuse, ganglionnaire, hépatique, prostatique.

Radiothérapie Adaptative
La radiothérapie adaptative consiste à adapter le traitement de radiothérapie planifié initialement, en prenant en compte les changements quotidiens dans l’anatomie du patient (déformation ou réduction du volume tumoral, amaigrissement du patient).
Cette technique est en cours de mise en place et sera proposée très prochainement aux patients éligibles.

Irradiation corporelle totale (ICT)
Technique de radiothérapie au cours de laquelle l’ensemble du corps est exposé à des rayonnements ionisants. Cette technique est destinée aux personnes traitées dans le cadre d’hémopathie en préparation à une greffe de moelle osseuse ou de cellules souches hématopoïétiques
L’irradiation corporelle totale est généralement administrée en une à quatre séances.
La curiethérapie
La curiethérapie est une forme de radiothérapie dans laquelle une source radioactive est placée soit à proximité immédiate de la tumeur soit à l’intérieur de celle-ci. Cette technique permet d’envoyer des doses élevées de rayonnements à la tumeur tout en réduisant au minimum l’exposition des tissus environnants.
Les patients nécessitant une curiethérapie sont réorientés vers des centres partenaires, majoritairement au Centre François Baclesse à Caen.
Votre parcours en radiothérapie
Consultation d’annonce
Il s’agit de la première consultation avec votre oncologue radiothérapeute. Il vous informe des modalités du traitement (de la zone traitée du nombre de séances) et des effets secondaires potentiels de celui-ci. D’éventuels examens complémentaires nécessaires à la réalisation du traitement seront alors peut être nécessaires et prescrits. Il est conseillé d’être accompagné pour cette première consultation et de venir avec vos ordonnances et les éléments médicaux en votre possession.
Scanner de radiothérapie
Ce scanner permet de planifier votre traitement. Il peut être réalisé avec ou sans injection de produit de contraste. Vous serez installé selon la position la plus adaptée pour votre traitement. Différents moyens de contentions peuvent être utilisés : masque thermoformé, moules. Des points de tatouages peuvent être nécessaires. Même si vous avez réalisé récemment un scanner dans le cadre de votre prise en charge, cet examen reste indispensable.
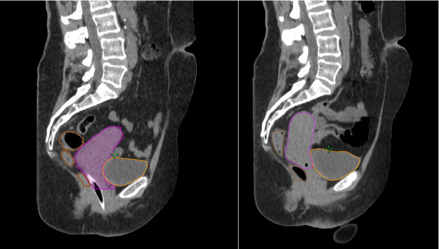
Contourage
Etape durant laquelle votre oncologue-radiothérapeute détermine les zones à traiter et les organes sains à protéger. Il va s’aider des différents examens réalisés. Des outils informatique d’aide au contourage peuvent être utilisés notamment via des outils basés sur l’IA (Intelligence Artificielle).
Dosimétrie
Durant cette étape, le dosimétriste va réaliser un plan de traitement sur un logiciel pour délivrer la dose prescrite à la tumeur tout en protégeant au maximum les tissus sains avoisinants. Ce traitement sera alors validé par votre médecin et un physicien médical.
Séances de radiothérapie
Les séances de radiothérapie sont indolores et d’une durée de 10-15 min le plus souvent et quotidiennes du lundi au vendredi (hors stéréotaxie).
Consultations en cours de traitement
Consultations hebdomadaires systématiques et consultation à la demande. Permettent en cas d’apparition d’effets secondaires de prescrire les traitements adaptés.
Consultation de fin de traitement
Au cours de laquelle le suivi est programmé et des examens dans le cadre de celui-ci vont être prescrits.
Consultations de suivi
Le suivi est organisé en collaboration avec des médecins d’autres spécialités impliqués dans la prise en charge de votre pathologie. Vous aurez des consultations à intervalles réguliers, des examens d’imagerie et /ou des bilans biologiques peuvent être prescrits.
Consultations associées et soins
Des consultations avec des manipulateurs sont également proposées au sein du département
- Entretien manipulateur : consultation paramédicale au cours de laquelle le manipulateur va vous réexpliquer le protocole de radiothérapie. Cette consultation permet de faire le point sur ce que vous avez compris concernant votre traitement et permet de répondre à vos questions.
- Parcours sein : Pour les patientes traitées pour un cancer du sein, un parcours dédié est proposé.
- Entretien pré-curiethérapie : pour les patients qui doivent avoir un traitement par curiethérapie, une consultation par une manipulatrice sera programmée au cours de votre radiothérapie pour vous fournir des explications avant votre consultation au centre Francois Baclesse.
- Consultation plaie : Assurée par une manipulatrice spécialisée, elle permet un suivi en cas de risque de radiodermite, ou de proposer des soins adaptés en cas d’effets secondaires
- Photobiomodulation, Laser : traitement utilisant la lumière rouge ou proche infrarouge pour prévenir ou traiter les effets secondaires de la radiothérapie notamment au niveau de la peau (rougeur) ou des muqueuses (aphtes).
Plateau technique
- 1 scanner de simulation SIEMENS SOMATOM go.Open Pro
- 5 Appareils de radiothérapie externe (Varian)
- 2 Novalis Truebeam STX
- 2 Halcyon
- 1 Ethos équipé de l’Hypersight
- Système de repositionnement Surfacique Vision RT
- Accès dédié IRM et TEP-TDM



